2025/12/12
お子さまの矯正事例
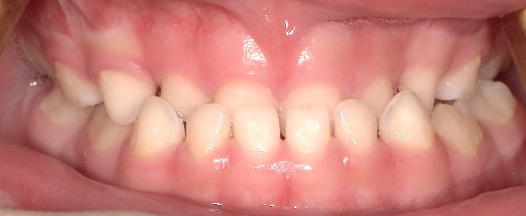
撮影日時:2025年4月26日
年齢:3才11ヶ月
矯正開始前
年齢:3才11ヶ月
矯正開始前
▼
撮影日時:2025年10月4日
年齢:4才4ヶ月
矯正終了
年齢:4才4ヶ月
矯正終了
| 主訴 | 受け口 |
|---|---|
| 治療期間 | 約6ヶ月 |
| 治療費 | 55,000円 |
| 治療内容 | 筋機能訓練装置 |
| 治療後のリスク | 治療後の後戻り、装着時間の不足により正しい治療効果が得られない事があります。 |
2025/12/12
| 主訴 | 受け口 |
|---|---|
| 治療期間 | 約6ヶ月 |
| 治療費 | 55,000円 |
| 治療内容 | 筋機能訓練装置 |
| 治療後のリスク | 治療後の後戻り、装着時間の不足により正しい治療効果が得られない事があります。 |