2025/12/16
前歯のすきまと出っ歯の矯正事例
▼
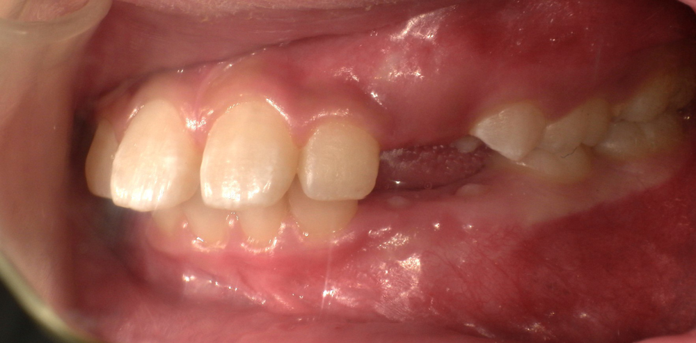
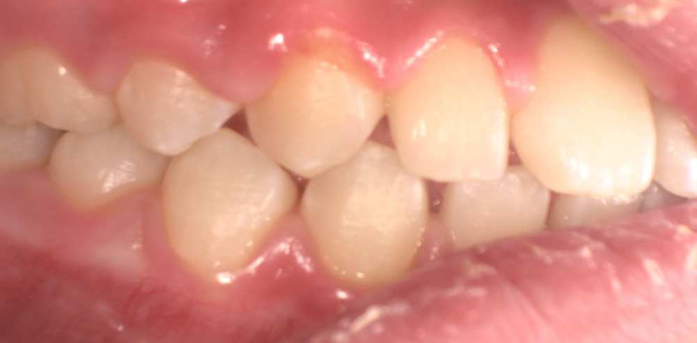
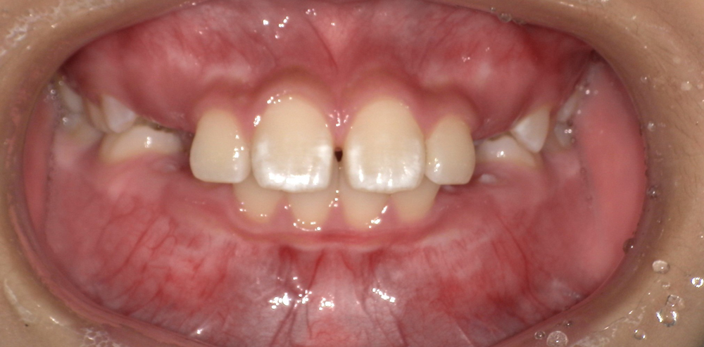
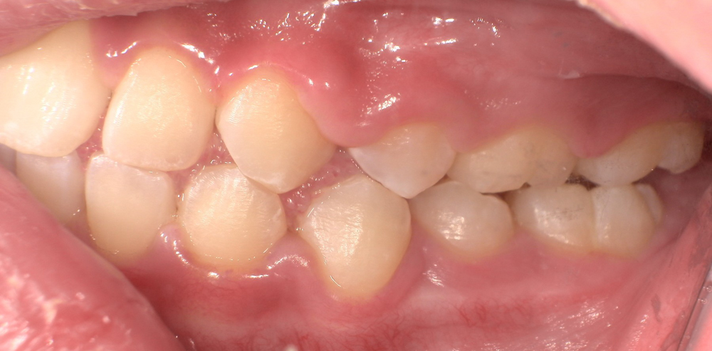
| 年齢 | 9歳 |
|---|---|
| 主訴 | 前歯のすきまと出っ歯 |
| 治療期間 | 約1年10ヶ月 |
| 治療費 | 55,000円 |
| 治療内容 | 筋機能訓練装置 |
| 治療後のリスク | 治療後の後戻り、装着時間の不足により正しい治療効果が得られない事があります。 |
2025/12/16
| 年齢 | 9歳 |
|---|---|
| 主訴 | 前歯のすきまと出っ歯 |
| 治療期間 | 約1年10ヶ月 |
| 治療費 | 55,000円 |
| 治療内容 | 筋機能訓練装置 |
| 治療後のリスク | 治療後の後戻り、装着時間の不足により正しい治療効果が得られない事があります。 |