2025/12/16
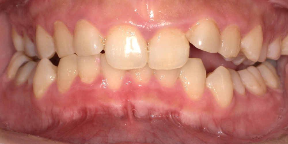
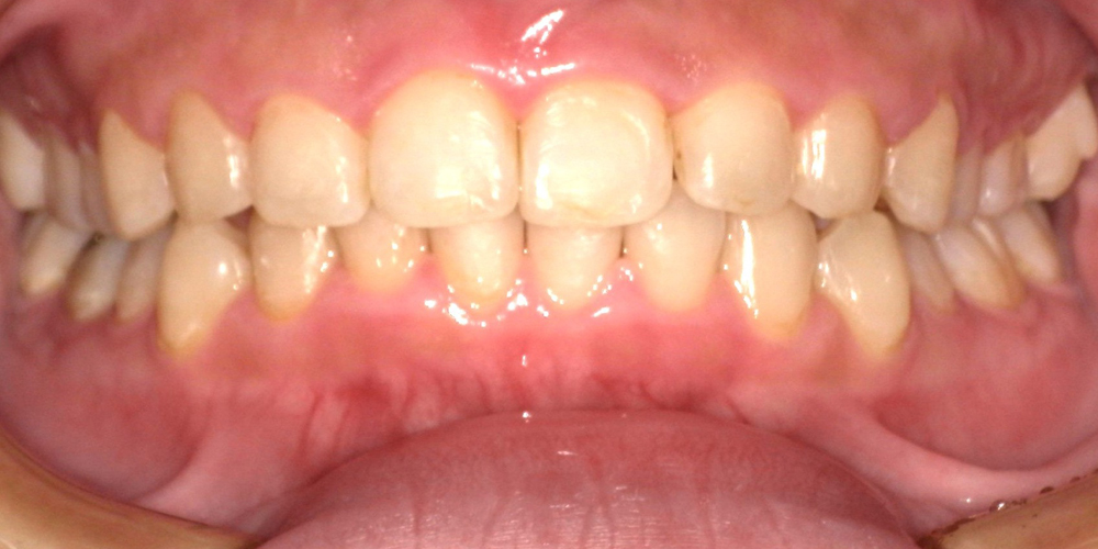
前歯のガタガタの矯正事例
▼
| 年齢 | 20代女性 |
|---|---|
| 主訴 | 前歯のガタガタが気になる |
| 治療期間 | 約1年9ヶ月 |
| 治療費 | 440,000円 |
| 治療内容 | ワイヤー矯正 |
| 治療後のリスク | 矯正終了後、決められた期間保定装置を装着しないと後戻りする可能性があります。 歯根吸収・歯肉退縮などが起こる可能性があります。 個人差はありますが、歯の移動時に痛みが生じることがあります。 |
2025/12/16
| 年齢 | 20代女性 |
|---|---|
| 主訴 | 前歯のガタガタが気になる |
| 治療期間 | 約1年9ヶ月 |
| 治療費 | 440,000円 |
| 治療内容 | ワイヤー矯正 |
| 治療後のリスク | 矯正終了後、決められた期間保定装置を装着しないと後戻りする可能性があります。 歯根吸収・歯肉退縮などが起こる可能性があります。 個人差はありますが、歯の移動時に痛みが生じることがあります。 |